
Innovations in Women's Breast Imaging
Innovations in Women's Breast Imaging

I-MED is dedicated to supporting Australian referrers and their patients by providing access to the latest imaging technologies that help them when they need answers. This Pink October, I-MED is excited to spotlight a new breast imaging procedure called Contrast Enhanced Mammography, CEM.
CEM is an enhancement to conventional mammography with a proven ability to significantly reduce false negatives. I-MED is proud to offer the service in Queensland, New South Wales, and Victoria with more locations to come.
CEM works by combining standard mammography with an iodine-based contrast agent providing more detailed imaging of the breast's vasculature.
Due to its sensitivity, CEM can be particularly valuable for women with dense breasts.
In the past year alone, we have worked with our referrers to provide more than 1,300 women with access to I-MED's CEM service, an increase of 2.5 times from the previous year. This growth is not just a number and a source of pride for our team; it also represents a commitment to providing patients and their doctors with quality care and accurate diagnostic outcomes.

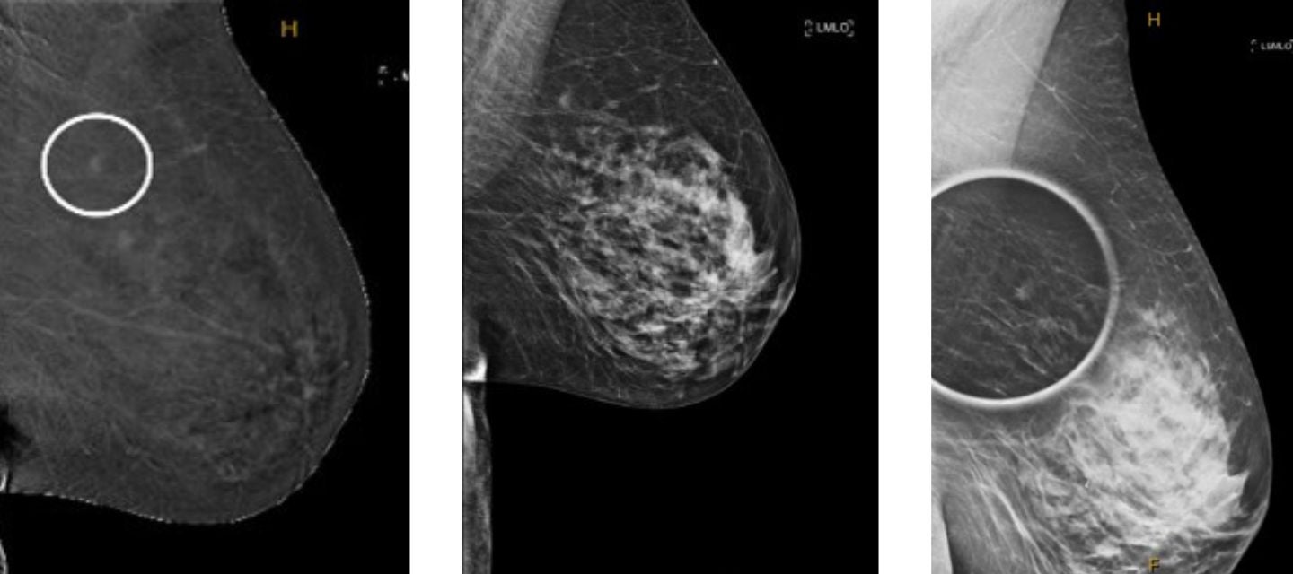
Pictured above: mammography images.
Pictured at top of the page: I-MED Radiologist, Dr Katrina Dahl.
I-MED has a long-standing history of embracing innovation in women’s health. We were among the first to implement 3D mammography, establishing a benchmark for quality care in 2017. Today, we are proud to lead the way with CEM, which is already available in clinics located in Queensland, New South Wales, and Victoria, with plans for further expansion.
Taking part in Pink October is a source of true pride and passion for everyone at I-MED. This initiative resonates deeply with our core values and allows us to make a meaningful impact on a cause that matters greatly to our team, referrers and patients, and we will continue to invest in advanced imaging technology to improve women's health outcomes.
